WASHINGTON - Scientists used the abortion drug RU-486 to keep tumors at bay
in mice bred with a gene destined to give them breast cancer.
|
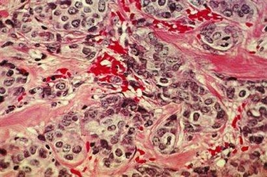
 Breast cancer cells are seen in an undated photo from the
National Cancer Institute. The chemical compound in the abortion pill
RU-486 blocked formation in mice of breast tumors caused by a mutant gene
blamed in many women's breast and ovarian cancers, researchers
found.[Reuters]

|
No one is suggesting women use
the abortion pill that way. But the provocative experiment helped illustrate how
the notorious breast cancer gene BRCA1 does its dirty work, by spurring a
hormone called progesterone that RU-486 happens to block.
If researchers could create a safer hormone blocker, it might offer a
long-awaited alternative for women with the bad gene. They have few good options
today to prevent breast cancer.
"All of us have to be cautious," said cell biologist Eva Lee of the
University of California, Irvine, who led the research published in Friday's
edition of the journal Science. "But I do think if there is a better
anti-progesterone available, hopefully there will be other options in the future
for these women."
Cancer specialists not involved with the experiment praised the work, even as
they cautioned women not to get their hopes up yet.
"This is an avenue worth pursuing on a research level," said Dr. Claudine
Isaacs, an oncologist at Georgetown University Hospital who works closely with
carriers of BRCA1 and a related gene.
"This is work in a mouse," she said. "It's clearly too early to start
recommending use of this agent."
Dr. Len Lichtenfeld, the American Cancer Society's deputy chief medical
officer, said researchers and patients will "take interest in this topic and
explore it further."
He called the paper "elegant research," but stressed that "it would not be
appropriate in any way, shape or form that women start taking RU-486 for this
purpose."
Long-term use of RU-486 could suppress the immune system and cause other side
effects.
Some 212,000 women in the United States will be diagnosed with breast cancer
this year. Only 5 percent to 10 percent will have a hereditary form. Women who
inherit mutations in the BRCA1 gene are at far greater risk of cancer than the
average woman. By age 70, more than half of those gene carriers develop either
breast or ovarian cancer.
Their options today include:
_Frequent cancer screening, in hopes of catching it early.
_Removing both breasts while they are still healthy.
_Taking the anticancer drug tamoxifen, which helps some women.
_Removing the ovaries before age 50, cutting the risk of both cancers.
These are anxiety-provoking options. Hence the push to determine exactly how
BRCA1 triggers tumors, so maybe doctors and women could fight its bad effects
more easily.
Particularly puzzling, BRCA1 mutations occur in every cell of the body,
raising questions about why the defect would trigger cancer just in reproductive
organs.
In their research, Lee and colleagues created mice whose mammary glands only
harbor the BRCA1 mutation.
The scientists found that the bad gene caused breast tissue to have too-high
levels of progesterone receptors. That means the hormone sticks around longer
than it should, in turn sparking excess cell growth. In fact, the mice's breast
tissue looked like it should have during pregnancy, when temporarily high
progesterone levels cause breast growth as the gland prepares to make milk.
The final evidence came from RU-486, also called mifepristone. It causes
human abortions by suppressing progesterone, a hormone crucial to sustaining
pregnancy.
Instead of a human pill, Lee implanted some of the cancer-prone mice with an
RU-486 pellet designed to slowly emit the drug into their bodies over two
months.
By 8 months of age, each of the untreated gene-defective mice had developed
tumors. But none of the mice given RU-486 had developed tumors by 12 months,
when the study stopped.
Lee cautioned that RU-486 is not a good candidate for such long-term use in
people. She said more targeted progesterone blockers already are being
developed.